脳ドックについて
- 脳ドックは脳卒中(脳出血、脳梗塞、クモ膜下出血)や脳腫瘍を早期に発見し、
予防や治療を行うことを目的とした「脳の健康診断」です。
- 強い磁力と電波を使って撮影するMRI(磁気共鳴断層撮影装置)で検査します。
MRIは、放射線の被曝や痛みの心配もなく、縦・横・斜めのあらゆる角度から撮影することができます。 - 当院では、脳神経外科の専門医が診断して説明し、撮影データは後日CDにコピーして郵送します。
平成25年11月に導入した最新の3.0テスラMRIで撮影します
※脳ドックを受ける方の状態によって、1.5テスラで撮影する場合もあります

(脳MRI)
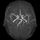
(脳血管)
(頚部血管)
MRI検査ができない方
次のような方はMRI検査を受けることができませんので、ご注意ください。
(これ以外にも検査できない場合がありますので、申込時に確認させていただきます。)
- 心臓ペースメーカー、人工内耳等を装着している方
- 入れ墨、アイライン等のアートメイクをしている方
- 閉所恐怖症の方
- 妊娠中の方
検査日
- 毎週月曜日
①14:00~、②14:30~、③15:00~の各時間帯1名様で事前予約が必要です。
(時間の指定は出来ませんのでご了承ください。)
検査料金
- 20,000円(税別)
保険の適用がありませんので、全額自己負担となります。
予約方法
- 完全予約制です
- 平日の13:00~17:00に予約受付をしています。
011-611-8111(病院代表)に「脳ドックの予約をしたい」とお伝えください。
担当係におつなぎします。 - 返信用封筒を同封した「申込書」を郵送しますので、必要事項を記載して返信をお願いします。
申込内容を確認して、こちらからお電話いたします。
検査当日
- 食事制限はありません。服用中のお薬もふだんどおりに服用してください。
- お化粧は控えめでお願いします。カラーコンタクトは検査前に外していただきます。
- 撮影時間の30分前に病院(受付窓口の③④)へお越し下さい。
受付後、係の者が診察室や撮影室までご案内いたします。 - 撮影室は強い磁力(人体に影響ありません)がありますので、金属類の持ち込みは一切できません。検査着に着替えて撮影します。
- 検査は上向きで寝て、円筒の中に入っていただきます。
「コンコンコン」と連続音が聞こえ、多少うるさく感じられるかもしれませんが、
30分程度で終了しますので、頭を動かさないようにご協力ください。 - 撮影後、脳神経外科医師より結果をお伝えします。



